在英国,每年有4.2万例结肠癌新病例。结肠癌是英国第二大最常见的癌症死亡原因。癌症是一种遗传性疾病,是由特定基因发生的突变引起的,这些突变可以使一个细胞比它附近的细胞更具优势。在某些基因中发生足够的突变后,细胞可能会发生癌变并不受控制地分裂,从而形成肿瘤。
在过去的40年中,人们已鉴定出这些驱动癌症的突变,并在肿瘤组织中构建出这些突变的图谱。由于技术限制,人们以前不可能在健康组织中鉴定它们,不过这对于理解癌症产生的第一步至关重要。
在一项新的研究中,来自英国韦尔科姆基金会桑格研究所及其合作机构的研究人员开发出技术对少量的结肠细胞进行基因组测序,从而允许以前所未有的方式详细地研究健康的结肠组织中隐藏的基因突变。

研究人员发现了复杂的突变模式,包括癌基因发生的突变以及突变在同一个人体内和不同人之间的巨大差异性。这些结果将有助于科学家们了解健康的结肠细胞如何变成结肠癌细胞,从而揭示了结肠癌的最早阶段。
在这项新研究中,这些研究人员开发出确定和描述健康结肠细胞的基因组序列的方法。他们发现了结肠癌产生的最早阶段。这些细胞形态正常,但是具有明显不同的基因突变模式,包括重要的癌基因中发生的突变。
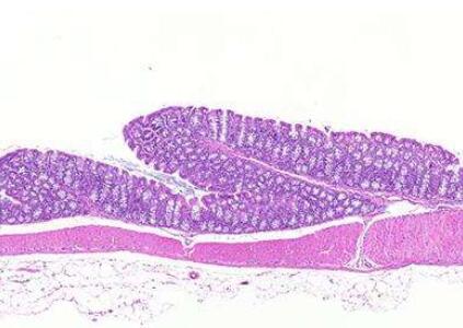
为了鉴定出这些突变,这些研究人员使用激光捕获显微镜(laser capture microscopy)从捐赠的组织样本中切出了单个“隐窝(crypt)”,这些隐窝一起构成了结肠组织。隐窝内的每个细胞都有相同的基因突变。他们研究了来自42名年龄在11至78岁之间的人的总共2035个隐窝。他们开发出一种新的工作流程对激光捕获的隐窝进行基因组测序。他们随后让能够对成千上万个基因组进行快速测序的过程实现了完全自动化。
这些研究人员还研究了这些基因组中的突变特征---由特定化学物或过程引起的特定DNA突变模式或指纹。他们在结肠细胞中发现了多种突变过程的特征。一些突变特征以前就已被观察到,并且它们的原因是已知的,包括被认为破坏人类DNA的酶。一些突变特征是普遍存在的和持续存在的,而另一些突变特征仅出现在少数几个人体内,某些隐窝或生命的某些时期。6种基因突变特征之前从未观察到,还需要开展进一步研究以便找出导致它们的原因。
鉴定健康结肠细胞内癌症驱动基因中的突变特征和突变,可以给出正常结肠组织中DNA变化的基本情况。这些突变可以与在炎症性肠病以及结肠癌等疾病中所见的突变进行比较,以了解细胞如何以及为何在健康和疾病中进化和发生变化。
在正常细胞中发现突变的能力意味着如今可以描述人体不同组织中存在多少种突变以及什么类型的突变,这可能有助于我们理解是什么使得某些组织比其他组织更容易发送癌变。在这项新的研究中,在正常结肠细胞的基因组中鉴定出新的突变模式(也称为‘突变特征’),从而提供了发现导致这些突变的原因的线索,而这可能会发现导致结肠癌的隐藏原因。